Roughly one year ago (we don’t have the exact date, but it was during the last week of Sept) we found out that we were pregnant. Wow, that’s weird to think about. Sometime in our previous lives we used to judge years by when school let out for summer, or when the Super Bowl was, or when the choir season began, or when a new lease was to be signed, or when our work performance evaluations were due, or when ski season started…now life itself is the determining factor of time.
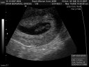
Don’t worry, this won’t be a ‘year in review’ post, but we will revisit last Sept quickly. For several reasons we were extremely excited and very nervous about the news last September. We decided to tell just our parents and immediate family that we were expecting…Ahna reminded me yesterday that we told our parents on my birthday. We waited to tell our friends until after the first trimester was complete just to make sure that everything was on the up and up. Boy was it ever. We remember one ultrasound where Ezra was jumping up and down and doing head-over-heel flips…full of anticipation, we wondered what it would be like to see it in person.
We talked a lot about the expected changes in life, during the next 10 months as well as afterwards….but one thing that we discussed a lot was how much we enjoyed and celebrated it being the two of us. We intenionally spent a lot of time together doing things that we didn’t think that we would be able to do once Ezra was born. But one thing that we couldn’t have anticipated was how much joy we would get from involving Ezra in our adventures. We thought it would be cool, but had no idea about the fulfillment that we feel.
It seems like 10 years and 4 lives have passed since last September. It’s hard to remember life without Ezra (either expecting or after birth). It’s strange to think that our home hasn’t changed, our friends haven’t changed, our work hasn’t changed, our families haven’t changes…yet everything changed.
Here’s the first and the latest pictures of Ezra:


Leave a comment